Agnosia integrativa causada por una epilepsia focal occipital izquierda: estudio de caso
Integrative agnosia as a consequence of left focal occipital epilepsy: a case study
Resumen (es)
La agnosia integrativa es un tipo de agnosia visual asociada a lesiones occipitales bilaterales que se caracteriza por la incapacidad para identificar estímulos en fondos complejos, especialmente, cuando se trata de formas superpuestas o entrelazadas. Existen dificultades para codificar y agrupar el todo a partir de las partes del estímulo. Se presenta un caso de una paciente de 14 años, con una agnosia integrativa como consecuencia de una epilepsia focal sintomática refractaria, con un foco epileptogénico occipital izquierdo. Se plantean las características clínicas de la paciente y se hace un análisis de sus procesos de reconocimiento visual discutidos a partir de los diferentes modelos teóricos que tratan de explicar la percepción visual.
Resumen (en)
Integrative agnosia is a type of visual agnosia associated with bilateral occipital lesions and characterized by the inability to identify stimuli in complex backgrounds, especially when it comes to overlapping or interlocking shapes. There are difficulties in coding and grouping the whole from the parts of the stimulus. We report a case of a 14 year-old female, with integrative agnosia as consequence of refractory symptomatic focal epilepsy with left occipital epileptogenic focus. Clinical features and the visual recognition processes are analyzed and discussed from different theoretical models that attempt to explain visual perception.
Referencias
Baumann, C. (2011). Psychic Blindness or Visual Agnosia: Early Descriptions of a Nervous Disorder. Journal of the History of Neurosciences 20:58-64. doi: 10.1080/0964704100379834.
Damasio, A. R. (1989). Time-locked multiregional retroactivation: a systems-level proposal for the neural substrates of recall and recognition. Cognition 33(1-2):25-62.
Delvenne, J.; Seron, X.; Coyette, F. & Rossion, B. (2004). Evidence for perceptual deficits in associative visual prosopagnosia: a single-case study. Neuropsychologia 42:597-612.
Devinsky, O.; Farah, M. J. & Barr, W. B. (2008). Visual Agnosia. En G. Goldenberg & B.L. Miller (Eds.). Handbook of Clinical Neurology (3rd ed., pp. 417-427). Amsterdam: Elsevier.
Ellis, A.W. & Young, A.W. (1988). Human Cognitive Neuropsychology. Hillsdale, NJ: Erlbaum.
Farah, M.J. (1990). Visual agnosia: Disorders of object recognition and what they tell us about normal vision. Issues in the biology of language and cognition. Cambridge, MA: MIT Press.
Foulsham, T.; Barton, J.; Kingstone, A.; Dewhurst, R. & Underwood, G. (2011). Modeling eye movements in visual agnosia with a saliency map approach: Bottom-up guidance or top-down strategy?. Neural Networks 24(6):665-677.
Glennerster, A. (2007). Marr's vision: Twenty-five years on. Current Biology 17(11):397-399.
Humphreys, G.W. & Riddoch, M.J. (1987). To see but not to see: A case study of visual agnosia. Londres: Lawrence Erlbaum.
James, M. & Warrington, E. (1991). Visual Object and Space Perception Battery (VOSP). Oxford: Pearson.
Kolb, B. & Wishaw, I.Q. (2006). Neuropsicología humana. Madrid: Médica Panamericana.
Lissauer, H. (1890). Ein Fall von Seelenblindheit nebst einem Beitrag zur Theorie deselben [Un caso de agnosia visual con una contribución a la teoría]. Archiv für Psychiatrie und Nervenkrankheiten 21:222-270.
Marr, D. (1976). Early processing of visual information. Philosophical Transactions of the Royal Society of London, Series B 275(942):483-519.
Oliveros, A. (2007). Agnosia Visual. En J. Peña-Casanova (Ed.). Neurología de la conducta y neuropsicología. (cap 7., pp. 157-184). Madrid: Médica Panamericana.
Poggio, T. (2003). Marr's computational approach to vision. Trends in neurosciences 4:258-262.
Riddoch, M.J. & Humphreys G.W. (2003). Visual agnosia. Neurol Clin 21(2):501-520.
Riddoch, M. J. & Humphreys, G. W. (2004). Object identification in simultagnosia: When wholes are not the sum of their parts. Cognitive Neuropsychology 21(2):423-441.
Rosselli-Cock, M.; Matute-Villaseñor, E.; Ardila-Ardila, A.; Botero-Gómez, V.E.; Tangarife-Salazar, G.A.; Echeverría-Pulido, S.E.; Arbelaez-Giraldo, Mejía-Quintero, M et al. (2004). Evaluación Neuropsicológica Infantil (ENI): una batería para la evaluación de niños entre 5 y 16 años de edad: Estudio normativo colombiano. Revista de Neurología 38(8):720-731.
Wilson, K. & Farah, M (2003). When does the visual system use viewpoint-invariant representations during recognition? Cognitive Brain Research 16:399-415.
Cómo citar
Agnosia integrativa causada por una epilepsia
focal occipital izquierda: estudio de caso
Integrative agnosia as a consequence of
left focal occipital epilepsy: a case study
Óscar Mauricio Aguilar Mejía** 1, Beatriz Ramírez Bermejo1, Luis Manuel Silva Martín1
1 Pontificia Universidad Javeriana, Colombia
* Producto de investigación. Grupo Psicología y Salud.
Recibido: 15 de enero de 2011 Revisado: 20 de abril de 2011 Aceptado: 29 de mayo de 2011
Resumen
La agnosia integrativa es un tipo de agnosia visual asociada a lesiones occipitales bilaterales que se caracteriza por la incapacidad para identificar estímulos en fondos complejos, especialmente, cuando se trata de formas superpuestas o entrelazadas. Existen dificultades para codificar y agrupar el todo a partir de las partes del estímulo. Se presenta un caso de una paciente de 14 años, con una agnosia integrativa como consecuencia de una epilepsia focal sintomática refractaria, con un foco epileptogénico occipital izquierdo. Se plantean las características clínicas de la paciente y se hace un análisis de sus procesos de reconocimiento visual discutidos a partir de los diferentes modelos teóricos que tratan de explicar la percepción visual.
Palabras clave: agnosia integrativa, agnosia visual, epilepsia.
Abstract
Integrative agnosia is a type of visual agnosia associated with bilateral occipital lesions and characterized by the inability to identify stimuli in complex backgrounds, especially when it comes to overlapping or interlocking shapes. There are difficulties in coding and grouping the whole from the parts of the stimulus. We report a case of a 14 year-old female, with integrative agnosia as consequence of refractory symptomatic focal epilepsy with left occipital epileptogenic focus. Clinical features and the visual recognition processes are analyzed and discussed from different theoretical models that attempt to explain visual perception.
Key words: integrative agnosia, visual agnosia, epilepsy.
Introducción
Los síndromes neuropsicológicos conocidos como "agnosias" se caracterizan por la imposibilidad de los pacientes para reconocer objetos familiares a pesar de preservar sus habilidades intelectuales generales y de mantener, aparentemente, una indemnidad sensorial que les permita percibir los estímulos (Devinsky, Farah & Barr, 2008; Delvenne, Seron, Coyette & Rossion, 2004; Foulsham, Barton, Kingstone, Dewhurst, & Underwood, 2011; Oliveros, 2007). Esta característica hizo que las agnosias fueran casi siempre descritas como padecimientos de carácter psicológico, tanto así que el fisiólogo Hermann Munk, quien a finales del siglo XIX describió inicialmente la agnosia visual, la llamó Seelenblindheit (ceguera del alma o ceguera psíquica) (Baumann, 2011). Precisamente la agnosia visual es quizás el más impactante de estos trastornos de no reconocimiento, debido a la importancia que tiene para los seres humanos la visión.
El concepto de agnosia, y especialmente el de agnosia visual, ha ido cambiando y se ha complejizado gracias a los aportes de los diferentes modelos teóricos, pero principalmente por el estudio de casos de pacientes con lesiones en áreas cerebrales posteriores. Los diferentes modelos han realizado explicaciones desde perspectivas que exponen las agnosias visuales en etapas, pasando por explicaciones conexionistas hasta modelos que se centran en modelos computacionales y en la neuropsicología cognitiva.
Después de la descripción inicial de Munk se ha abordado el tema desde varias perspectivas, comenzando con un modelo por etapas, en que se sostiene que la corteza cerebral construye en primer lugar un percepto, a partir de unas impresiones sensoriales elementales. El reconocimiento se logra cuando el percepto resultante es comparado y emparejado exitosamente con la información almacenada sobre el objeto en cuestión. El más extendido de estos modelos fue el propuesto por Lissauer (1890, citado por Devinsky et ál., 2008) quien argumentaba que el reconocimiento se logra en dos fases que denominó "apercepción" y "asociación". Por apercepción Lissauer entendía la percepción consciente de una impresión sensorial, es decir, la agrupación de los diferentes atributos en un todo. Por asociación entendía la atribución de significado al contenido de la percepción, mediante un proceso de emparejamiento y asociación a una experiencia gnósica previa. La idea central de los trabajos de Lissauer era que el reconocimiento no dependía únicamente de la integridad de los procesos perceptivos, sino también en una fase gnósica posterior, en la que las impresiones sensoriales son combinadas de forma que permitan el acceso a representaciones internas. Solo después de que esta segunda fase haya tenido éxito es cuando el reconocimiento consciente finaliza (Oliveros, 2007; Devinsky et ál., 2008; Delvenne et ál., 2004).
Por otro lado, están los modelos disconexionistas, de los cuales uno de los principales representantes es Geschwind (1965, citado por Oliveros, 2007) quien definió la agnosia como el resultado de una desconexión entre los procesos visuales y los verbales. Su deducción hizo explícito que el reconocimiento no es un proceso unitario, basándose en que una lesión en la zona mesial del lóbulo occipital izquierdo no afectaba únicamente la visión (produciendo una hemianopsia homónima derecha), sino que además evitaba que la información procedente de áreas occipitales izquierdas sanas llegara al área de denominación, por afectación de las fibras cruzadas entre ambas áreas (Oliveros, 2007).
Aparecen también modelos computacionales de los cuales emergen varias teorías. Una de ellas es la teoría computacional de Marr (1976), quien postula que a partir de un análisis perceptual, disponemos de un sistema de reconocimiento que nos proporciona una cantidad casi ilimitada de información, tanto estructural como semántica sobre el mundo que nos rodea. La teoría de Marr ("modelo perceptivo") puede resumirse dividiendo la visión en cuatro fases básicas: una primera fase conocida como esbozo primario, la cual se centra en las características básicas de los objetos (bordes y barras, propiedades, longitud, contraste y orientación), en la que se establece el brillo, contraste, intensidad y contorno del objeto presentado, desde un ángulo de visión concreto. La segunda fase es un esbozo en dos dimensiones y media (2V D), en la cual se añade información como la de las claves de profundidad, la discriminación figura-fondo y la textura de la superficie. La tercera fase es el esbozo tridimensional, en la cual se establece una representación del objeto centrada en el objeto, que puede definirse como una representación del objeto que es independiente del punto de vista específico del observador (su rotación no alteraría la representación espacial del mismo); y por último, la cuarta fase, correspondiente a la interpretación semántica, en la cual se atribuye significado al estímulo y que depende específicamente del sujeto (Poggio, 2003; Glennerster, 2007).
Es así como se ha postulado que el reconocimiento depende de los rasgos distintivos que activan las representaciones volumétricas de los objetos: la lesión cerebral hace que los rasgos distintivos presentados bajo un ángulo inhabitual sean insuficientes para que las representaciones correspondientes puedan activarse (Oliveros, 2007).
Posteriormente, surgen autores como Humphreys y Riddoch (1987), quienes postulan un modelo cognoscitivo en el que se plantean una serie de fases: en primer lugar un tratamiento sensorial basal, al que le sigue una etapa de análisis local (detalles) y global (forma) cuya alteración definiría la agnosia de las formas. La tercera etapa implica la integración de la percepción en un conjunto, con la separación de la figura del fondo y la elaboración de una representación dependiente del punto de vista del sujeto. La alteración de esta etapa constituiría una agnosia integrativa, otra variedad de agnosia aperceptiva en la que los sujetos reconocen los detalles pero no pueden hacer su síntesis, recopilando los dibujos trazo por trazo de forma mecánica y fallando en las pruebas de las figuras superpuestas. La siguiente etapa permite una representación tridimensional estable centrada sobre el sujeto, cuya alteración definiría la agnosia de transformación. La etapa posterior supone el reconocimiento de la forma, gracias al almacén de las representaciones estructurales en memoria, cuya alteración se asociaría a un déficit de la identificación. La última etapa permitiría, a partir de las representaciones almacenadas, acceder al sistema semántico, cuya alteración se asociaría con una agnosia de acceso semántico (Riddoch & Humphreys, 2004; Riddoch & Humphreys, 2003; Oliveros, 2007).
Relacionada con esta misma aproximación se encuentra la teoría de la visión planteada por Damasio, quien en 1989 propuso un modelo computacional más evolucionado, basándose en la terminología de redes neurales. Este modelo sugiere que la percepción implica la evocación de un patrón de actividad neural en la corteza primaria y las áreas de asociación que se correlaciona con los diversos rasgos extraídos de los objetos percibidos. Posteriormente, esos rasgos se combinan en las áreas de convergencia local que sirven para unir el patrón de características percibidas en una "entidad". Para Damasio (1989) el reconocimiento se da cuando el patrón neural que define una entidad concreta es reactivado en respuesta a un estímulo durante un lapso de tiempo concreto. El rasgo fundamental del modelo radica en que no se hace una distinción categórica entre percepción y memoria, es decir, la información relativa a estímulos previamente conocidos es almacenada en forma de un "patrón de actividad neuronal" y no en una representación localizada e inamovible. El modelo de Damasio predice que no puede darse un trastorno del reconocimiento de los objetos sin concurrencia de disfunción perceptual en mayor o menor grado (Damasio, 1989; Oliveros, 2007).
Modelos contemporáneos
En la actualidad, la perspectiva ha girado en torno a modelos cognitivos neuropsicológicos, los cuales intentan esbozar, en términos cognitivos, los componentes funcionales implicados en el reconocimiento de objetos. Un modelo representativo de este tipo es el propuesto por Ellis y Young (1988), quienes postulan una representación inicial centrada en el observador y otra centrada en el objeto, las cuales serían homólogas al estadio "inicial", "perspectiva en 21/2 D" y "perspectiva en 3 D" descritos por Marr (1976). Según este modelo, el proceso de reconocimiento se realiza mediante la comparación de dos tipos de representaciones (la centrada en el observador y la centrada en el objeto) con las llamadas "URO" (unidades de reconocimiento de objetos), que son representaciones almacenadas de objetos conocidos y que actúan como una interfase entre la representación visual (que describe la apariencia) y la información semántica (que describe las propiedades funcionales y atributos). Posterior a la activación de dichas representaciones (URO) se da la denominación como último estadio del modelo, en el que se asume que el sistema semántico puede recobrar el nombre del objeto a partir de un lexicón. En este modelo, los déficits que se dan previamente al nivel de acceso a una URO se corresponden con la agnosia aperceptiva descrita por Lissauer (1890), mientras que los que se dan posteriormente corresponden más a una agnosia asociativa (Oliveros, 2007).
También se han propuesto explicaciones alternativas de la agnosia visual. Una de sus postulantes, Farah (1990) ha ofrecido una explicación haciendo una distinción entre el procesamiento holístico (p. ej. el reconocimiento de caras) y el procesamiento de las partes constituyentes (p. ej. el reconocimiento de las palabras) en vez de establecer distinciones entre agnosia aperceptiva y asociativa. A partir de sus planteamientos explica que el reconocimiento de objetos depende tanto de un procesamiento holístico como de las partes constituyentes, por lo que una alteración en cualquiera de los dos procesos afectará el reconocimiento, aunque variará la naturaleza de la alteración resultante (Wilson & Farah, 2003).
Una de las objeciones principales a esta idea es que se centra en la eliminación de la distinción asociativa/aperceptiva, pues se ha postulado que esta distinción es esencial para explicar las alteraciones de los pacientes que fallan en el reconocimiento de objetos, aunque presentan un buen rendimiento cuando se trata de elegir el objeto adecuado (Oliveros, 2007).
Actualmente, se acepta que el reconocimiento de estímulos es un proceso complejo, que involucra al menos tres componentes principales. En primer lugar, un análisis sensorial del objeto (bordes, figura, fondo, dirección o espacialidad); en segundo lugar, la identificación y reconocimiento del estímulo a partir de la memoria semántica, es decir, acceder a una representación amnésica basada en el previo conocimiento del estímulo; y por último, pero fuertemente ligada al anterior, la denominación del objeto y su descripción funcional que implica acceder a la información semántica del objeto y la relación con la categoría a la que pertenece.
Agnosia integrativa
Para este caso nos centraremos en describir la agnosia integrativa, definida por Riddoch y Humphreys (1987) como un trastorno en el que los pacientes con lesiones occipito-temporales bilaterales son incapaces de identificar estímulos en fondos complejos, especialmente cuando se trata de formas superpuestas o entrelazadas. La agnosia integrativa también es asociada con déficits en la codificación del todo a partir de las partes presentes, a pesar de que estos pacientes pueden responder a algunos aspectos indiferenciados de las formas holísticas. Los fallos en el reconocimiento ocurren cuando la descripción holística es insuficiente para la identificación del objeto, siendo el reconocimiento de objetos enteros perturbado por el fracaso en el agrupamiento de las partes (Riddoch & Humphreys, 2003; Riddoch & Humphreys, 2004).
Es importante realizar un diagnóstico diferencial entre la agnosia integrativa y la simultagnosia, pues como ya se explicó anteriormente los pacientes que presentan agnosia integrativa reconocen los detalles, pero no pueden hacer su síntesis, mientras que la simultagnosia se caracteriza por la incapacidad del paciente para identificar múltiples estímulos e interpretar escenas complejas. A pesar de que se han descrito similitudes en el proceso de reconocimiento en pacientes con simultagnosia y en pacientes con agnosia integrativa también hay diferencias importantes. Riddoch & Humphreys (2004) sugieren que los déficits en el reconocimiento en cada caso están causados por problemas que contrastan: por un lado, en la simultagnosia hay un déficit básico en el control de la atención sobre los objetos y no en la codificación del objeto per se; y por otro lado, en la agnosia integrativa hay un déficit básico en el agrupamiento y la construcción de totalidades perceptuales a partir de múltiples elementos visuales. En la agnosia integrativa la habilidad de controlar la atención puede estar preservada, además los pacientes con este trastorno suelen dar cuenta del contexto espacial en el que aparecen los objetos (Riddoch & Humphreys, 2004).
Descripción del caso
Paciente mujer ("CL") de 14 años de edad, nacida en Bogotá, Colombia, con lateralidad manual diestra y con educación hasta quinto de primaria (nueve años de escolaridad). A nivel neurológico es diagnosticada con epilepsia focal sintomática refractaria a tratamiento farmacológico desde la etapa neonatal, con foco en el lóbulo occipital izquierdo.
Antecedentes de desarrollo
La paciente durante los primeros meses de vida presenta crisis epilépticas de inicio focal izquierdo como consecuencia de una encefalopatía hipóxico isquémica posparto. A los 2 años de edad presenta crisis caracterizadas por desviación oculocefálica a la izquierda y a los 3 años se presentan cambios visuales de segundos de duración, en los que refiere pérdida de la visión pidiendo que "le prendan la luz". Desde entonces, en algunas crisis refiere dolor abdominal con pérdida de visión de segundos con automatismos concomitantes. Para el momento de la evaluación neuropsicológica la paciente presentaba 2 a 3 crisis diarias que iniciaban con visión borrosa y se caracterizaban por emitir sonidos guturales, versión cefálica izquierda, aparente desconexión y mirada fija, con una duración aproximada de un minuto y con confusión postictal.
Videotelemetría
Se registra actividad de base pobremente organizada en regiones posteriores, actividad lenta angular sobre regiones de la línea media posterior y descargas paroxísticas interictales en regiones occipitales izquierdas. Las crisis que incluyen visión borrosa comienzan por regiones occipitales izquierdas con una actividad paroxística focal que aumenta en amplitud y frecuencia sobre regiones del cuadrante posterior izquierdo, especialmente en los canales O1 y P3. Así mismo, se le realizan potenciales cognitivos de larga latencia que indican actividad de base lenta para su edad, y descargas paroxísticas focales sobre el cuadrante posterior del hemisferio izquierdo, con predominio de regiones parieto-occipitales. La P300 visual fue de 332 milisegundos, asimétrica sobre regiones parietales derechas, y la auditiva de 318 milisegundos temporal bilateral con amplitudes y topografías típicas.
Evaluación neuropsicológica
Pruebas aplicadas
Se aplicó la escala de inteligencia Wechsler para niños (WISC - IV) para determinar sus capacidades intelectuales generales. Además, se realizó el Visual object space and Perception - VOS (James & Warrington, 1991) y los subtest de lenguaje, habilidades visoespaciales y visoconstructivas de la Evaluación Neuropsicológica Infantil, con validación para población colombiana (Rosselli-Cock, Matute-Villaseñor, Ardila-Ardila, Botero-Gómez, Tangarife-Salazar, Echeverría-Pulido et ál. 2004).
Resultados
Se encontraron dificultades severas en el reconocimiento de estímulos, en la capacidad para integrar sus rasgos, en el cierre perceptual y en la integración de ángulos (integración de objetos PE: 4, Cierre visual PE: 0 y Cierre Gestáltico PE:1), razón por lo cual, la paciente al observar un estímulo realiza un análisis por sus partes sin poder integrarlas como un todo, llevándola a centrarse en un elemento o en un detalle y a partir de allí dar una respuesta (imágenes borrosas PE: 4; imágenes sobrepuestas PE: 0; siluetas PD:6/30).
De igual forma, se encontraron dificultades moderadas para identificar y reconocer objetos en posiciones inusuales, realizar rotaciones mentales (siluetas progresivas PD: 6/9 y 10/10), y para el manejo espacial de los estímulos (análisis de cubos PD: 2/9).
Se evidenciaron dificultades severas en el reconocimiento de estímulos visuales cuando las imágenes son borrosas o están sobrepuestas, además, se encontraron dificultades visuales consistentes en una pobre capacidad para integrar ángulos de las figuras, para la integración holística de los estímulos (centrase en el todo y no sólo en la parte) y para un adecuado manejo espacial. Cabe resaltar que lo anterior afecta sus desempeños en tareas que implican habilidades constructivas y de manejo espacial, ya que a nivel de las habilidades espaciales se encontró incapacidad para discriminar derecha-izquierda en el espacio extracorporal y ubicación de coordenadas. Sin embargo, se pudo determinar que sí logra identificar los estímulos presentados, puede proporcionar la información semántica relacionada con el estímulo sin ninguna dificultad.
Discusión
A partir de los resultados obtenidos en las pruebas de evaluación neuropsicológica y su relación con la alteración neurológica de base, se puede establecer una fuerte correspondencia entre el tipo de crisis, el área donde se encuentra el foco epiléptico y las alteraciones cognitivas encontradas en la paciente.
Los síndromes neuropsicológicos conocidos como "agnosias" se caracterizan por la imposibilidad de los pacientes para reconocer objetos familiares, a pesar de preservar sus habilidades intelectuales generales y sin presentar alteraciones sensoriales significativas que puedan explicar el déficit (Devinsky et ál., 2008; Delvenne et ál., 2004; Foulsham et ál., 2011; Oliveros, 2007). Es así como el proceso de reconocimiento de estímulos visuales se caracteriza por un análisis sensorial del objeto, la identificación a partir de la representación amnésica basada en el conocimiento previo y su denominación o descripción funcional de acuerdo con la categoría semántica a la que pertenezca. Teniendo en cuenta la definición anterior y que CL no presentaba alteraciones sensoriales significativas (no requería del uso de prótesis visuales, ni presentaba hemianopsia, entre otros), se encontró que las alteraciones presentadas por la paciente corresponden con un cuadro de agnosia visual.
Sin embargo, para entender mejor el cuadro agnósico que presenta, es importante analizar sus resultados con mayor profundidad, pues en estos se evidencia que no existen diferencias significativas entre las respuestas ante los estímulos de las diferentes categorías que se le presentaban (por ejemplo, objetos versus seres vivos), exhibiendo en unos casos respuestas adecuadas y en otros erróneas, pero sin un patrón claro que pudiera determinar que sus fallos se relacionaban con una categoría específica (Riddoch & Humphreys, 2004; Riddoch & Humphreys, 2003; Oliveros, 2007).
Como constante en sus respuestas y ante las pruebas visuales se constató que CL no integra las partes de una figura como un todo, y, por el contrario, se centra en elementos específicos sin integrar los demás componentes del estímulo. Así mismo, se observó que la latencia de sus respuestas está aumentada, pues siempre está tratando de encontrar un elemento que le dé claves sobre lo que está viendo. Adicionalmente, cuando se indaga por el manejo semántico de los estímulos que reconoce, de acuerdo con su respuesta se concluye que proporciona información semántica independientemente de la categoría a la que pertenezca, lo cual permite determinar que si logra identificar el estímulo puede proporcionar la información del objeto y que si no lo identifica, pero proporciona una respuesta, puede acceder y verbalizar la información perteneciente a lo que cree que está reconociendo.
Lo anterior está de acuerdo con los postulados de Farah (1990), quien hace una distinción entre el procesamiento del todo y de las partes, explicando que el reconocimiento de objetos depende tanto de un procesamiento holístico como de las partes constituyentes, por lo que una alteración en cualquiera de los dos procesos afectará el reconocimiento (Farah, 1990; Wilson & Farah 2003, Oliveros, 2007).
Por otro lado, al analizar sus dibujos y las respuestas que da ante las diferentes pruebas, se pudo constatar que la paciente presenta dificultades moderadas en la orientación de las líneas en el espacio (direccionalidad), por lo que al pedirle que copie un dibujo falla al intersectar correctamente los ángulos de las figuras. Adicionalmente, tiene dificultades para localizar espacialmente los estímulos cuando debe posicionarlos en un plano (coordenadas verticales y horizontales) fallando en discriminar la altura a la que están ubicados. Además, cuando se agrupan los estímulos pierde la relación vertical en la que está el objeto. Todo lo anterior permite plantear como hipótesis que el principal vector de propagación de la actividad epileptiforme es occipito-parietal (vía dorsal), razón por la cual, además del reconocimiento de estímulos se encuentran afectados los procesos visoespaciales y visoconstructivos (Kolb & Wishaw, 2006).
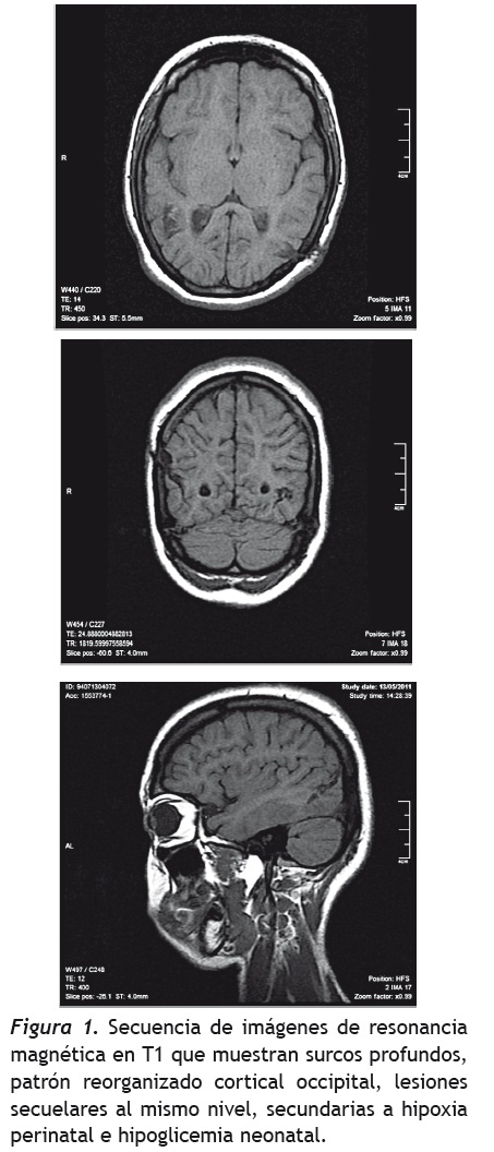
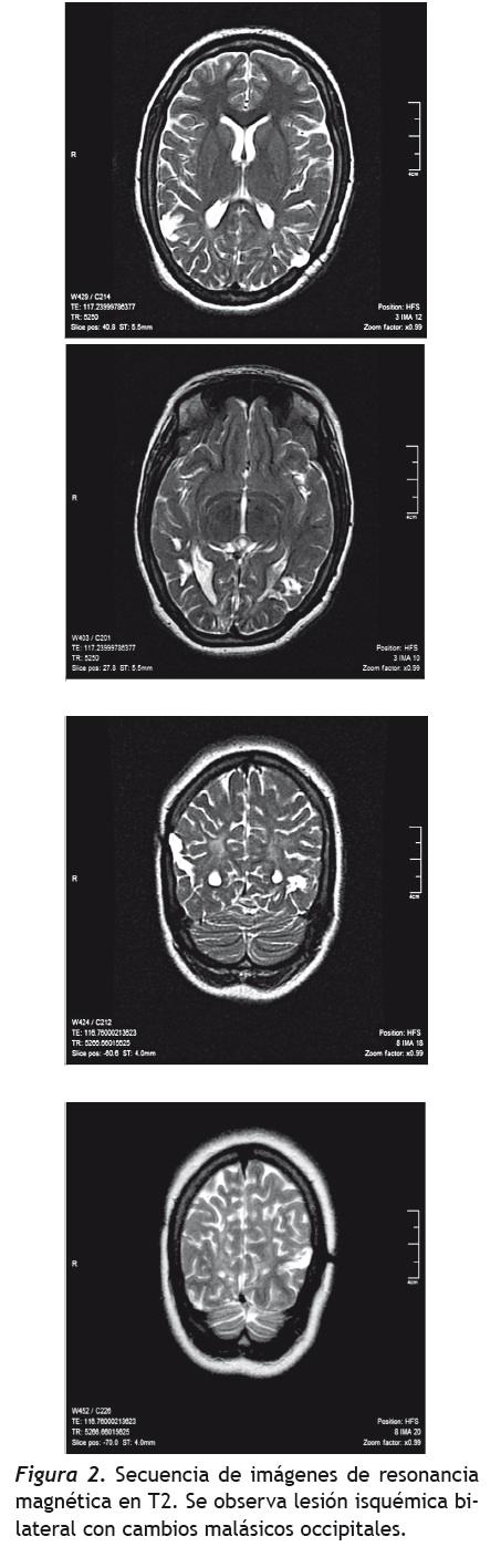
Pero también, cuando las figuras están superpuestas no puede diferenciar una de otra, lo cual corresponde con una alteración en la tercera etapa del modelo cognoscitivo propuesto por Humphreys y Riddoch (1987), la cual implica la integración de la percepción en un conjunto, con la segregación de la figura del fondo y la elaboración de una representación dependiente del punto de vista del sujeto. Riddoch y Humphreys (1987) definen la agnosia integrativa como un trastorno en el que los pacientes con lesiones occipito-temporales bilaterales son incapaces de identificar estímulos en fondos complejos, especialmente cuando se trata de formas superpuestas o entrelazadas. La agnosia integrativa también es asociada con déficits en la codificación del todo a partir de las partes presentes, a pesar de que estos pacientes pueden responder a algunos aspectos indiferenciados de las formas holísticas. Los fallos en el reconocimiento ocurren cuando la descripción holística es insuficiente para la identificación del objeto, siendo el reconocimiento de objetos enteros perturbado por el fracaso en el agrupamiento de las partes (Riddoch & Humphreys, 2003, 2004; Oliveros, 2007). En nuestro caso, en cuanto a las áreas cerebrales afectadas, la paciente presenta un foco epiléptico occipital izquierdo, sin embargo, en las imágenes cerebrales se encuentran alteraciones occipitales bilaterales. Además, se debe tener en cuenta que la paciente presenta una frecuencia elevada de crisis, posiblemente con diferentes vectores de propagación que no solamente deben producir alteraciones ipsilaterales, sino que también deben afectar el hemisferio contralateral, lo cual corresponde a lo planteado por Humphreys & Riddoch respecto a las áreas cerebrales involucradas (1987). Pero por otra parte, en sus desempeños neuropsicológicos, se encuentran estas alteraciones cognitivas que se corroboran con los hallazgos en pruebas como las de figuras superpuestas, ya que no puede integrar la totalidad de los estímulos, por lo que se centra en un detalle específico siendo incapaz de integrarlo con las otras partes que lo conforman y llevándola a generalizaciones erróneas (ej.: al mostrarle una piña se centra únicamente en la parte superior de la misma, asociándola con una palmera, a partir de lo cual empieza a tener intrusiones con elementos del mar, tratando de generalizar su respuesta).
Para finalizar, se encontró que, si los trazos o imágenes (así estén desintegradas o desarmadas) tienen unos bordes o contornos bien gruesos y con bastante tinta, en los que la figura esté casi completa, sus respuestas mejoran en el porcentaje de aciertos, lo que concuerda con lo planteado por Oliveros (2007) quien asegura que si los contornos de los estímulos son gruesos se facilita su reconocimiento, pues ayudan al paciente a centrar su atención sobre los mismos.
Para concluir, el caso anterior es un ejemplo más de la complejidad del proceso de reconocimiento visual de estímulos, que implica una gran cantidad de componentes que interactúan de formas muy complejas. Ello dificulta la consolidación de modelos teóricos que den cuenta del estudio de las gnosias visuales. No obstante, el estudio de casos como éste, aunque no permite la construcción de modelos cognoscitivos completos, sí facilita la comprensión de los componentes involucrados en los mismos, debido a la especificidad de los déficit cognitivos y de la relación con determinadas áreas cerebrales, lo que permite definir subtipos de agnosias visuales, como en este caso la agnosia integrativa diagnosticada en la paciente.
Referencias
Baumann, C. (2011). Psychic Blindness or Visual Agnosia: Early Descriptions of a Nervous Disorder. Journal of the History of Neurosciences 20:58-64. doi: 10.1080/0964704100379834.
Damasio, A. R. (1989). Time-locked multiregional retroactivation: a systems-level proposal for the neural substrates of recall and recognition. Cognition 33(1-2):25-62.
Delvenne, J.; Seron, X.; Coyette, F. & Rossion, B. (2004). Evidence for perceptual deficits in associative visual prosopagnosia: a single-case study. Neuropsychologia 42:597-612.
Devinsky, O.; Farah, M. J. & Barr, W. B. (2008). Visual Agnosia. En G. Goldenberg & B.L. Miller (Eds.). Handbook of Clinical Neurology (3rd ed., pp. 417-427). Amsterdam: Elsevier.
Ellis, A.W. & Young, A.W. (1988). Human Cognitive Neuropsychology. Hillsdale, NJ: Erlbaum.
Farah, M.J. (1990). Visual agnosia: Disorders of object recognition and what they tell us about normal vision. Issues in the biology of language and cognition. Cambridge, MA: MIT Press.
Foulsham, T.; Barton, J.; Kingstone, A.; Dewhurst, R. & Underwood, G. (2011). Modeling eye movements in visual agnosia with a saliency map approach: Bottom-up guidance or top-down strategy?. Neural Networks 24(6):665-677.
Glennerster, A. (2007). Marr's vision: Twenty-five years on. Current Biology 17(11):397-399.
Humphreys, G.W. & Riddoch, M.J. (1987). To see but not to see: A case study of visual agnosia. Londres: Lawrence Erlbaum.
James, M. & Warrington, E. (1991). Visual Object and Space Perception Battery (VOSP). Oxford: Pearson.
Kolb, B. & Wishaw, I.Q. (2006). Neuropsicología humana. Madrid: Médica Panamericana.
Lissauer, H. (1890). Ein Fall von Seelenblindheit nebst einem Beitrag zur Theorie deselben [Un caso de agnosia visual con una contribución a la teoría]. Archiv für Psychiatrie und Nervenkrankheiten 21:222-270.
Marr, D. (1976). Early processing of visual information. Philosophical Transactions of the Royal Society of London, Series B 275(942):483-519.
Oliveros, A. (2007). Agnosia Visual. En J. Peña-Casanova (Ed.). Neurología de la conducta y neuropsicología. (cap 7., pp. 157-184). Madrid: Médica Panamericana.
Poggio, T. (2003). Marr's computational approach to vision. Trends in neurosciences 4:258-262.
Riddoch, M.J. & Humphreys G.W. (2003). Visual agnosia. Neurol Clin 21(2):501-520.
Riddoch, M. J. & Humphreys, G. W. (2004). Object identification in simultagnosia: When wholes are not the sum of their parts. Cognitive Neuropsychology 21(2):423-441.
Rosselli-Cock, M.; Matute-Villaseñor, E.; Ardila-Ardila, A.; Botero-Gómez, V.E.; Tangarife-Salazar, G.A.; Echeverría-Pulido, S.E.; Arbelaez-Giraldo, Mejía-Quintero, M et al. (2004). Evaluación Neuropsicológica Infantil (ENI): una batería para la evaluación de niños entre 5 y 16 años de edad: Estudio normativo colombiano. Revista de Neurología 38(8):720-731.
Wilson, K. & Farah, M (2003). When does the visual system use viewpoint-invariant representations during recognition? Cognitive Brain Research 16:399-415.
** Correspondencia: Óscar Mauricio Aguilar Mejía. Facultad de Psicología. Pontificia Universidad Javeriana. Colombia. Correo electrónico: oagui[email protected]. Dirección postal: Cra. 5 No. 39-00 Piso 2, Bogotá, Colombia.
Licencia
Si un artículo es aceptado, los autores/as conservarán sus derechos de autor y garantizarán a la revista el derecho de primera publicación de su obra, en este caso los derechos patrimoniales de publicación y reproducción, en medios impresos y digitales que permitan el acceso público a la obra, mediante la licencia Creative Commons, son del editor.
No obstante, un autor o un tercero pordrá adquirir el permiso de reproducción o adaptación siempre y cuando se de el crédito apropiado, proporcione un enlace a la licencia, e indique si se han realizado cambios
- Los autores/as conservarán sus derechos de autor y garantizarán a la revista el derecho de primera publicación de su obra, el cuál estará simultáneamente sujeto a la Creative Commons Atribución-NoComercial-CompartirIgual 4.0 Internacional (CC BY-NC-SA 4.0)
, que permite a terceros compartir la obra siempre que se indique su autor y su primera publicación esta revista. - Los autores/as podrán adoptar otros acuerdos de licencia no exclusiva de distribución de la versión de la obra publicada (p. ej.: depositarla en un archivo telemático institucional o publicarla en un volumen monográfico) siempre que se indique la publicación inicial en esta revista.
- Se permite y recomienda a los autores/as difundir su obra a través de Internet (p. ej.: en archivos telemáticos institucionales o en su página web) después del proceso de publicación, lo cual puede producir intercambios interesantes y aumentar las citas de la obra publicada.







